Implanty zębowe to jedna z najnowocześniejszych metod uzupełniania braków w uzębieniu, która cieszy się rosnącą popularnością. Warto jednak zastanowić się, czy jest to rozwiązanie odpowiednie dla każdego pacjenta. Przede wszystkim, kluczowym czynnikiem jest stan zdrowia jamy ustnej oraz ogólne zdrowie pacjenta. Osoby z chorobami przyzębia, cukrzycą czy problemami z krzepliwością krwi mogą być narażone na większe ryzyko powikłań po zabiegu. Kolejnym aspektem jest jakość kości, w której ma być umieszczony implant. Jeśli kość jest zbyt słaba lub zbyt cienka, może być konieczne przeprowadzenie dodatkowych zabiegów, takich jak augmentacja kości. Ważne jest również, aby pacjent był świadomy kosztów związanych z implantami, które mogą być znacznie wyższe niż tradycyjne protezy.
Jakie są korzyści płynące z zastosowania implantów zębowych?
Decydując się na implanty zębowe, pacjenci mogą liczyć na szereg korzyści, które znacząco poprawiają jakość życia. Przede wszystkim, implanty są trwałym rozwiązaniem, które może służyć przez wiele lat, a nawet całe życie, jeśli są odpowiednio pielęgnowane. W przeciwieństwie do tradycyjnych protez, które mogą przesuwać się w jamie ustnej i powodować dyskomfort, implanty są stabilnie osadzone w kości szczęki, co pozwala na swobodne jedzenie i mówienie bez obaw o ich wypadnięcie. Dodatkowo, implanty pomagają zachować naturalny kształt twarzy i zapobiegają utracie kości w miejscu brakującego zęba, co jest istotne dla estetyki oraz zdrowia jamy ustnej. Dzięki temu pacjenci często czują się pewniej w towarzystwie i nie muszą martwić się o wygląd swojego uśmiechu.
Czy implanty zębowe są drogie i jakie są ich koszty?

Kiedy mówimy o implantach zębowych, nie można pominąć kwestii finansowych związanych z tym zabiegiem. Koszt wszczepienia implantu może się znacznie różnić w zależności od wielu czynników, takich jak lokalizacja gabinetu stomatologicznego, doświadczenie lekarza oraz użyte materiały. Średnio cena jednego implantu w Polsce oscyluje wokół kilku tysięcy złotych, co może być dużym wydatkiem dla wielu pacjentów. Warto jednak pamiętać, że inwestycja w implanty to inwestycja w zdrowie i komfort życia na długie lata. Wiele klinik oferuje różne opcje finansowania oraz promocje, które mogą pomóc rozłożyć koszty na raty. Dodatkowo warto zwrócić uwagę na to, że niektóre ubezpieczenia zdrowotne mogą pokrywać część kosztów związanych z implantami.
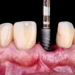
Jak przebiega proces zakupu i wszczepienia implantów zębowych?
Proces zakupu i wszczepienia implantów zębowych składa się z kilku kluczowych etapów, które mają na celu zapewnienie pacjentowi jak najlepszego efektu końcowego. Pierwszym krokiem jest konsultacja stomatologiczna, podczas której lekarz ocenia stan zdrowia jamy ustnej pacjenta oraz wykonuje niezbędne badania diagnostyczne. Na podstawie tych informacji lekarz podejmuje decyzję o możliwości wszczepienia implantu oraz planuje dalsze działania. Kolejnym etapem jest przygotowanie do zabiegu – może to obejmować leczenie ewentualnych chorób przyzębia czy przeprowadzenie augmentacji kości w przypadku jej niedoboru. Sam zabieg wszczepienia implantu odbywa się zazwyczaj w znieczuleniu miejscowym i trwa od kilkudziesięciu minut do kilku godzin w zależności od liczby wszczepianych implantów. Po zabiegu następuje okres gojenia trwający od kilku tygodni do kilku miesięcy, podczas którego implant integruje się z kością szczęki.
Jakie są najczęstsze pytania dotyczące implantów zębowych?
W miarę rosnącej popularności implantów zębowych, wiele osób ma pytania dotyczące tego rozwiązania. Jednym z najczęściej zadawanych pytań jest to, jak długo trwa proces gojenia po wszczepieniu implantu. Zazwyczaj czas ten wynosi od kilku tygodni do kilku miesięcy, w zależności od indywidualnych predyspozycji pacjenta oraz jakości kości. Kolejnym istotnym zagadnieniem jest kwestia bólu związana z zabiegiem. Większość pacjentów zgłasza jedynie niewielki dyskomfort, który można złagodzić za pomocą dostępnych leków przeciwbólowych. Inne pytanie dotyczy trwałości implantów – przy odpowiedniej pielęgnacji i regularnych wizytach kontrolnych, implanty mogą służyć przez wiele lat, a nawet całe życie. Wiele osób zastanawia się również nad tym, czy po wszczepieniu implantu będą musieli zmienić swoją dietę. Choć na początku zaleca się unikanie twardych pokarmów, większość pacjentów wraca do normalnego jedzenia w krótkim czasie po zakończeniu procesu gojenia.
Jak dbać o implanty zębowe po ich wszczepieniu?
Prawidłowa pielęgnacja implantów zębowych jest kluczowa dla ich długowieczności oraz zdrowia jamy ustnej. Po wszczepieniu implantu pacjenci powinni stosować się do zaleceń lekarza stomatologa, które mogą obejmować zarówno techniki szczotkowania, jak i używanie nici dentystycznej. Ważne jest, aby myć zęby co najmniej dwa razy dziennie przy użyciu pasty do zębów zawierającej fluor oraz delikatnej szczoteczki. Należy również zwrócić uwagę na czyszczenie przestrzeni międzyzębowych, gdzie gromadzi się płytka nazębna i resztki pokarmowe. Użycie nici dentystycznej lub specjalnych szczoteczek międzyzębowych może znacznie poprawić higienę jamy ustnej. Regularne wizyty u stomatologa są niezbędne do monitorowania stanu implantów oraz ogólnego zdrowia jamy ustnej. Specjalista może zalecić dodatkowe zabiegi profilaktyczne, takie jak skaling czy piaskowanie, które pomogą utrzymać implanty w doskonałej kondycji.
Czy istnieją przeciwwskazania do wszczepienia implantów zębowych?
Decyzja o wszczepieniu implantów zębowych nie zawsze jest możliwa dla każdego pacjenta ze względu na różne przeciwwskazania zdrowotne. Przede wszystkim osoby cierpiące na choroby przyzębia powinny najpierw poddać się leczeniu tych schorzeń przed rozważeniem wszczepienia implantu. Cukrzyca, zwłaszcza w przypadku niewyrównanej postaci, może również stanowić przeszkodę w przeprowadzeniu zabiegu ze względu na ryzyko infekcji oraz opóźnione gojenie ran. Problemy z krzepliwością krwi mogą prowadzić do powikłań podczas operacji oraz w okresie rekonwalescencji. Osoby palące również powinny być świadome, że palenie tytoniu znacząco zwiększa ryzyko niepowodzenia zabiegu oraz może prowadzić do problemów z gojeniem się tkanek. Dodatkowo, niewystarczająca ilość kości w miejscu planowanego wszczepienia implantu może wymagać przeprowadzenia dodatkowych zabiegów augmentacyjnych przed właściwym wszczepieniem implantu.
Jakie są alternatywy dla implantów zębowych?
Choć implanty zębowe są uznawane za jedno z najlepszych rozwiązań w przypadku brakujących zębów, istnieją również inne opcje leczenia, które warto rozważyć. Jedną z najpopularniejszych alternatyw są mosty protetyczne, które polegają na osadzeniu sztucznych zębów na sąsiednich naturalnych zębach pacjenta. Mosty mogą być skutecznym rozwiązaniem w przypadku braku jednego lub kilku zębów, jednak wymagają oszlifowania zdrowych zębów sąsiadujących. Inną możliwością są protezy ruchome, które mogą być stosowane zarówno jako pełne protezy (w przypadku braku wszystkich zębów), jak i częściowe (gdy brakuje tylko niektórych). Protezy są tańszą opcją niż implanty, ale mogą być mniej komfortowe i stabilne w porównaniu do stałych rozwiązań. Warto również wspomnieć o technice zwanej „all-on-4”, która polega na umieszczeniu całej protezy na czterech implantach – to innowacyjne podejście pozwala na szybsze uzyskanie efektu estetycznego i funkcjonalnego bez konieczności wszczepiania większej liczby implantów.
Jakie są opinie pacjentów o implantach zębowych?
Opinie pacjentów na temat implantów zębowych są zazwyczaj bardzo pozytywne i potwierdzają skuteczność tej metody uzupełniania brakujących zębów. Wielu pacjentów podkreśla znaczną poprawę komfortu życia po zabiegu – możliwość swobodnego jedzenia ulubionych potraw bez obaw o wypadnięcie protezy czy dyskomfort związany z tradycyjnymi metodami uzupełnienia uzębienia to dla wielu osób ogromna ulga. Pacjenci często chwalą także estetykę implantów – wyglądają one bardzo naturalnie i nie różnią się od pozostałych zdrowych zębów. Wiele osób zauważa również poprawę pewności siebie oraz jakości życia towarzyskiego po wykonaniu zabiegu – piękny uśmiech staje się źródłem radości i satysfakcji. Oczywiście nie brakuje też głosów krytycznych; niektórzy pacjenci wskazują na wysokie koszty związane z zabiegiem oraz długi czas oczekiwania na pełne efekty leczenia.
Jak przygotować się do zabiegu wszczepienia implantu?
Przygotowanie do zabiegu wszczepienia implantu to kluczowy etap procesu leczenia, który ma wpływ na jego powodzenie oraz komfort pacjenta. Pierwszym krokiem jest konsultacja stomatologiczna, podczas której lekarz oceni stan zdrowia jamy ustnej oraz przeprowadzi niezbędne badania diagnostyczne takie jak zdjęcia rentgenowskie czy tomografia komputerowa. Na podstawie tych informacji lekarz podejmie decyzję o możliwości przeprowadzenia zabiegu oraz zaplanuje dalsze działania. Warto również zadbać o ogólny stan zdrowia przed zabiegiem; jeśli pacjent przyjmuje leki lub ma przewlekłe schorzenia, powinien poinformować o tym lekarza stomatologa. Przed samym zabiegiem zaleca się unikanie spożywania alkoholu oraz palenia papierosów przez kilka dni; te czynniki mogą negatywnie wpłynąć na proces gojenia i zwiększyć ryzyko powikłań.




